Endoscopic Treatment

内視鏡治療

早期がんや前がん病変に対し、身体への負担が少ない治療を提供します

内視鏡治療とは

About Endoscopic Treatment

内視鏡治療の説明

内視鏡治療は、消化管の粘膜にできた早期がんや前がん病変を、体表に傷をつけずに切除する低侵襲治療です。代表的な方法に、EMR(内視鏡的粘膜切除術)ESD(内視鏡的粘膜下層剥離術)があります。

病変の大きさや位置、深達度などに応じて適切な術式を選択します。多くは日帰りまたは短期入院で実施でき、開腹手術に比べて身体への負担が少なく、回復が早いのが特長です。

当院では、日本消化器内視鏡学会専門医が、患者様一人ひとりの背景や併存疾患を考慮し、安全で質の高い治療を提供します。抗血栓薬内服中の方やご高齢の方も、適切なリスク評価と体制のもと対応可能です。

当院の内視鏡治療の特徴

Our Features

専門医による高品質な治療

日本消化器内視鏡学会専門医が担当し、病変に応じてEMR/ESDを適切に選択。安全性と根治性の両立を重視します。

低侵襲・早期回復

身体への負担が少なく、多くは日帰りや短期入院で実施可能。術後の痛みや出血にも配慮し、回復を支援します。

安全管理とサポート体制

モニタリング・止血器具・緊急対応体制を整備。抗血栓薬内服や併存疾患のある方にも、入院含めた柔軟な体制で対応します。

当院からのご案内

消化管の早期胃がん(粘膜内がん)や腺腫(将来的にがんに進行するリスクがある腫瘍)は、内視鏡治療により病変を取り除くことで完全な治癒が期待できます。当院は入院治療にも対応していることから、日帰りでは実施が困難なEMR(内視鏡的粘膜切除術) / ESD(内視鏡的粘膜下層剥離術)などの内視鏡治療にも対応しております。

  • また、日帰りでは切除が困難なサイズが大きな大腸ポリープ切除や、抗血栓薬を複数内服されており出血リスクが高い方対する内視鏡治療も実施しております。
  • 入院で術後の経過観察を行うことで、万が一の事態にも迅速に対応可能であり、安心できる環境を整えておりますので、是非一度ご相談下さい。

※ ESD治療は、安全性が確認できる病変のみを対象としております。

胃ESDの実際

Endoscopic Submucosal Dissection

当院では、安全性が確認できる病変のみを対象として、早期胃がんに対するESD(内視鏡的粘膜下層剥離術)を実施しています。特殊な電気メスを用いて病変の下の層(粘膜下層)を丁寧に剥がします。

胃ESDは、入院期間5泊6日のスケジュールで実施しておりますので、月曜日の入院後に治療を実施し、土曜日に退院して頂きます。当院で実施した胃ESDの実際は以下の通りです。

図1: 病変はやや発赤調の領域(矢印)としてわかる様子(サンプル)
図1. 病変はやや発赤調の領域(矢印)としてわかります。
図2: 病変の周囲にマーキング(サンプル)
図2. 病変の周囲にマーキングをします。
図3: 粘膜切開後に高周波ナイフで粘膜下層を剥離し病変を切除(サンプル)
図3. 粘膜切開を行った後に、高周波ナイフを用いて粘膜の下(粘膜下層)を剥離し病変を切除します。
図4: 切除後の創部(サンプル)
図4. 切除後の創部。

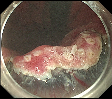
大腸EMRの実際

Endoscopic Mucosal Resection

当院では、安全性が確認できる病変のみを対象として、早期大腸がんに対するEMR(内視鏡的粘膜切除術)治療を実施しています。

EMRはスネアを用いて病変を絞扼後、高周波装置を用いて通電切除を行う切除方法です。がんもEMRで治療することができ、比較的安全な処置が可能であり、良好な治療成績が得られています。当院で実施した大腸EMRの実際は以下の通りです。

図1: 発赤調の隆起性病変(サンプル)
図1. 病変は発赤調の隆起性病変としてわかります。
図2: 発赤調の隆起性病変(別角度・サンプル)
図2. 病変は発赤調の隆起性病変としてわかります。
図3: スネアで絞扼し切除(サンプル)
図3. スネアを絞扼し、そのまま切除します。写真は切除後の創部です。
図4: 切除後の創部をクリップで閉鎖(サンプル)
図4. 切除後の創部は、出血の予防策として内視鏡的にクリップで閉鎖します。

治療の流れ

Flow

  1. 1

    診察・適応判定

    内視鏡検査結果や生検結果を踏まえ、病変の大きさ・深達度・部位などを評価し、EMR/ESDなど治療方針を決定します。

  2. 2

    事前説明・同意

    手技の内容・合併症リスク・術後経過について丁寧にご説明し、同意書を取得します。必要に応じて採血・心電図などを実施します。

  3. 3

    治療当日(鎮静/局所麻酔)

    患者様の状態に合わせて鎮静を調整し、内視鏡的に病変を切除。出血や穿孔に注意しながら安全に実施します。

  4. 4

    止血・回収・病理提出

    必要に応じてクリップや凝固で止血を行い、切除検体を病理検査へ提出します。

  5. 5

    回復室・日帰り/短期入院

    術後は安静・観察を行います。病変やリスクに応じて日帰り、または短期入院で対応します。

  6. 6

    結果説明・外来フォロー

    病理結果をご説明し、再発予防や再検査の時期をご案内します。

内視鏡治療の費用

Treatment Fee (Insurance)

保険診療の場合、病変や手技内容、入院日数などにより費用は変動します。下記はおおよその目安です。

内視鏡治療費用の目安(保険診療)
治療内容 1割負担 3割負担
EMR(内視鏡的粘膜切除術) 5,000円〜10,000円程度 15,000円〜30,000円程度
ESD(内視鏡的粘膜下層剥離術) 10,000円〜20,000円程度 30,000円〜60,000円程度

※ 上記は目安の料金です。初再診料・病理検査・薬剤・入院費用などで変動します。

※ 自費診療等は対象外です。詳しくは受診時にご確認ください。

よくあるご質問

FAQ

入院は必要ですか?

小さな病変の内視鏡治療は日帰りで対応可能な場合が多いですが、ESDや出血リスクの高い症例では短期入院での管理をおすすめします。

治療は痛いですか?鎮静は使えますか?

内視鏡治療では、病変切除を行う際の痛みを心配される方が多いですが、消化管粘膜には痛みを感じる神経がほとんどなく、治療時に痛みを感じることはありません。また、安全かつ正確な治療をおこなうため、鎮静剤の使用を推奨しております。

抗血栓薬(血液をさらさらにする薬)を飲んでいます。治療は可能ですか?

内視鏡検査や治療は可能です。ただし、薬の種類や治療内容によっては、出血リスクが高くなることがあるため、必要に応じて主治医と連携し、安全に治療できるよう対応いたします。